助力消化道早期疾病诊断

百老汇电子游戏官网新开发的内镜染色技术,主要是基于多波长LED 光源的开发,VLS-55Q 四波长LED 光源是由四个不同颜色的LED光按照相应照明模式所规定的特定发光比例进行合束后形成,合束后形成的照明光的光谱由红光、绿光、蓝光及蓝紫光这四个不同的波段范围构成。具有更高光谱自由度,通过光谱比例的控制,实现了聚谱成像技术,英文全称为“Spectral Focused Imaging, SFI”,缩写为“SFI”和光电复合染色成像技术,英文全称为“Versatile Intelligent Staining Technology, VIST”,缩写为“VIST”。

光电复合染色成像技术

Versatile Intelligent Staining Technology,VIST

与上一代VIST相比,摒弃了滤光转轮而直接采用光谱组合的方案,加入了血红蛋白吸收高峰与次高峰的蓝紫光和绿光光谱,更有利于黏膜血管吸收,突显浅表层血管和中层血管的对比度,因而具备更高的图像对比度,近景观察时,有助于微细结构变化及病灶边界的观察。

  • 血管对比度分布光谱曲线
  • VIST光谱
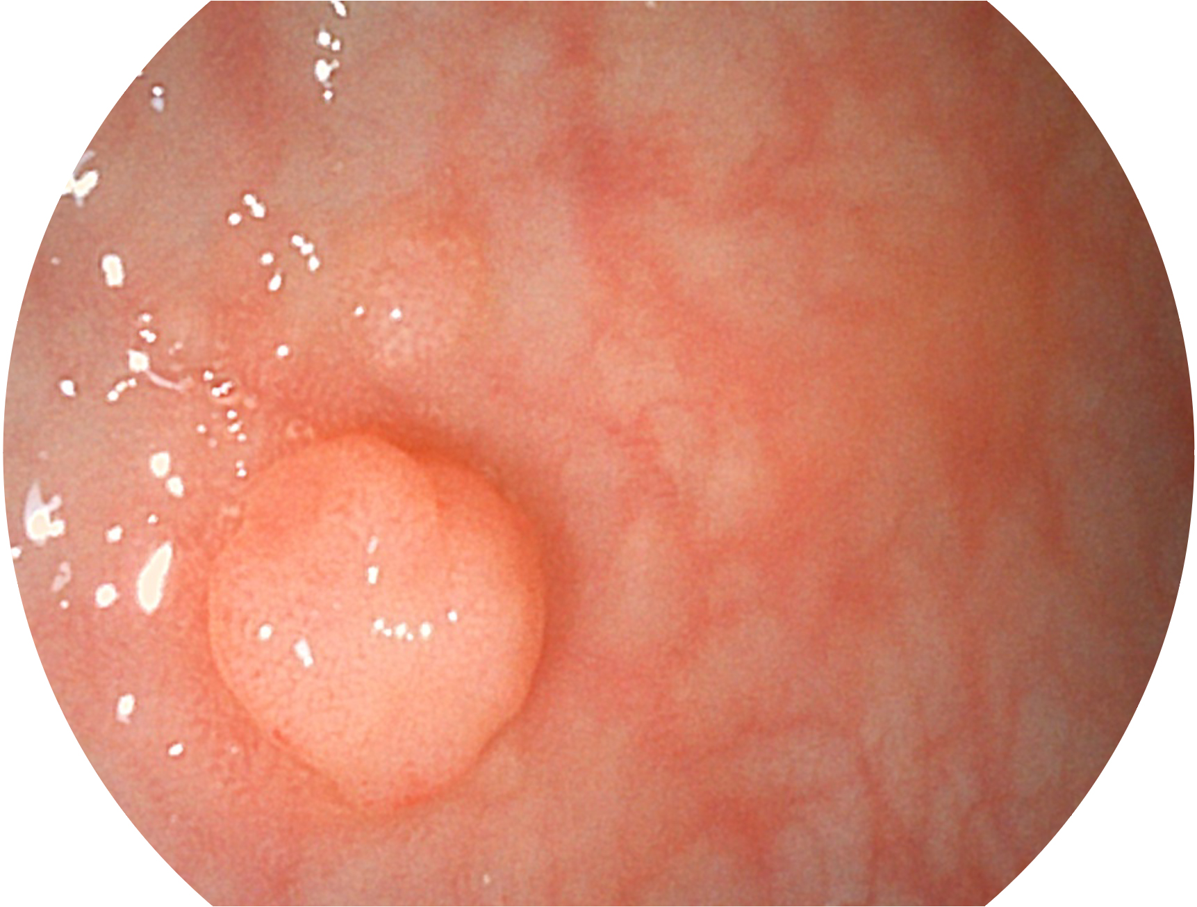
  • 白光图像 VIST图像
  • 白光图像 VIST图像
  • 白光图像 VIST图像

聚谱成像技术

Spectral Focused lmaging, SFI

SFI技术是结合特定光谱照明与数字光谱滤波,实现高亮度特殊光成像。染色模式下,不改变粘液、食物残渣、粪液等基本颜色,在保持与白光照明相似的图像色调的同时突显了图像颜色的红白对比度,且在远距离观察的情况下具备与普通白光模式相同的图像亮度,有助于消化道疾病的大范围扫查和早癌筛查。

  • 照明光谱
  • 光谱提取
  • 光谱提取能量汇聚
  • RGB图像重建
  • 染色模式显示
  • 白光图像 SFI图像
  • 白光图像 SFI图像
  • 白光图像 SFI图像